症例紹介 | case
MINAMIIBARAKI DENTAL CLINIC
受け口(反対咬合)を早期対処しましょう!
【症例4】8歳男児の症例
受け口の処置を早めに対処していきたいとの相談でご来院頂きました。
-
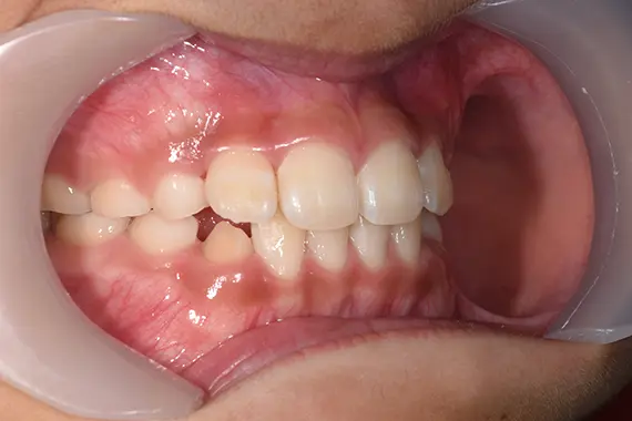
矯正前:横から
-
矯正後:横から
-
矯正後:上側
-
矯正後:下側
治療の詳細
| 治療名 | ムーシールド使用の一期治療(就学前の一期治療) |
|---|---|
| 治療回数・期間 | 約3年(ムーシールド2年・一期治療1年) |
| 治療費(税込) | 385,000円 |
| 治療に際しての注意点や感想、 今後へのメッセージ |
「受け口」への対処を早期の内に行うと、「上あごの成長阻害」という重大な弊害を回避することが出来ます。 「受け口」の治療は長期間になりますし、経過観察もしっかりと診てゆく必要がある治療です。 |
※個人の承諾を得ています。
※治療結果には個人差があります。
※治療費は当時の価格のものです。
※画像処理により形や大きさをかえるような処理は一切おこなっておりません。
ご予約はこちら
平日は18:30まで診察!祝日も休まず診察しています。
当院ではお忙しい方にも、安心して通院していただけるように、平日は18:30(受付時間 18:00)まで診療しております。
また、祝日も診療しておりますので、ぜひご利用ください。
初めて、南茨木プラザ歯科にご来院の方は、オンライン予約もご利用いただけます。
アクセス・診療時間
■ 所在地 大阪府茨木市東奈良3丁目14-10 西川ビル2F
TEL.072-657-0077 FAX.072-657-0033
■ 診療時間
| 月 | 火 | 水 | 木 | 金 | 土・祝 | 日 | |
|---|---|---|---|---|---|---|---|
| 午前診療 | 10:30~13:30 | 10:30~13:30 | 11:00~13:30 | × | 10:30~13:30 | 9:30~13:30 | × |
| 午後診療 | 14:30~18:30 | 14:30~18:30 | 14:30~19:30 | × | 14:30~18:30 | 14:30~17:30 | × |
※午前診療の最終受付時間はいずれも12:30です。
※午後診療の最終受付時間はいずれも診療時間終了の30分前です 。
■ 休診日
木曜日・日曜日
■ 診療内容
一般歯科 /
予防歯科 /
小児歯科 /
審美歯科 /
歯列矯正 /
歯科口腔外科 /
インプラント
※診療内容の詳細については[診療メニュー]をご覧ください。



